第16回 歯科技工G-1グランプリ

受賞者発表

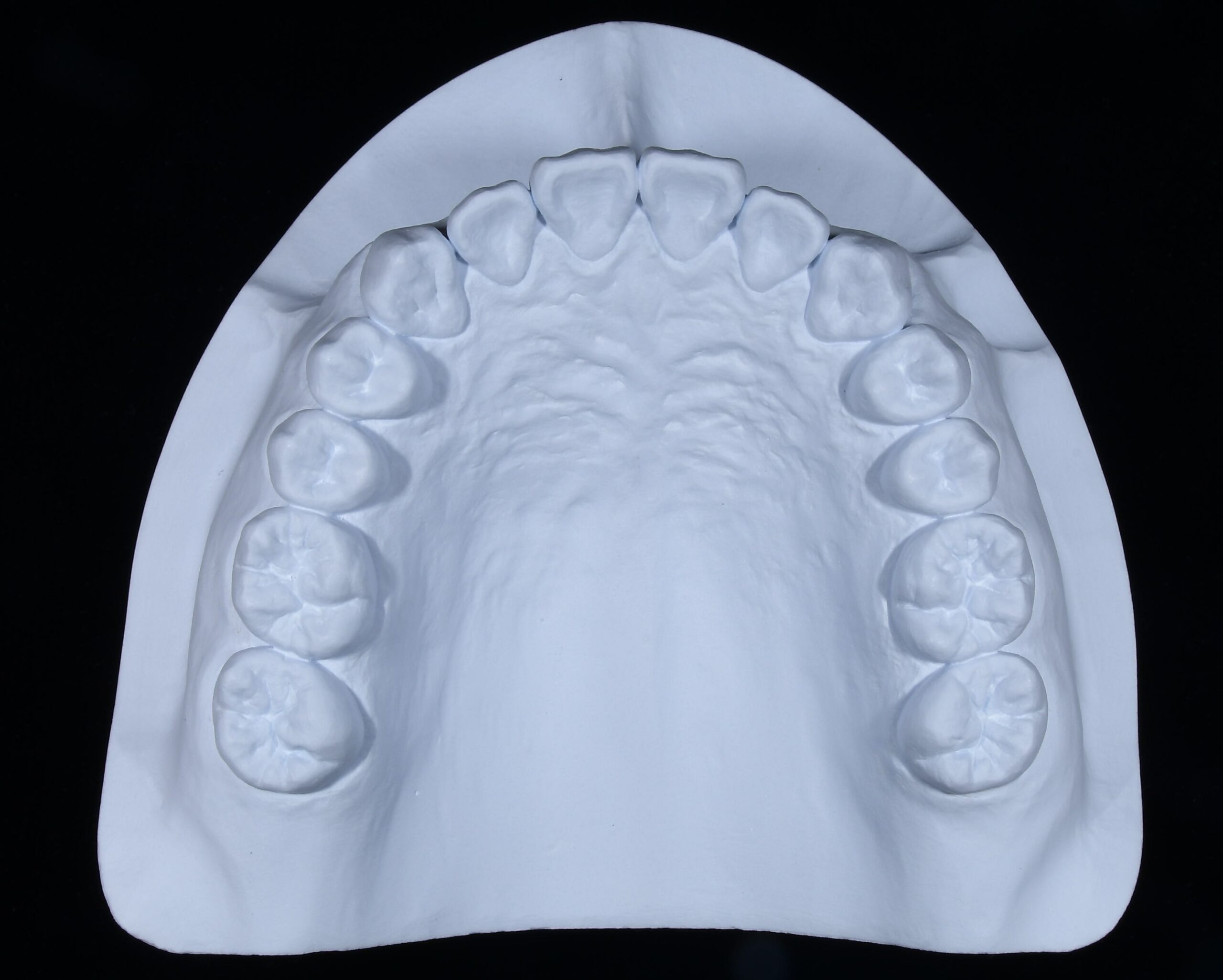
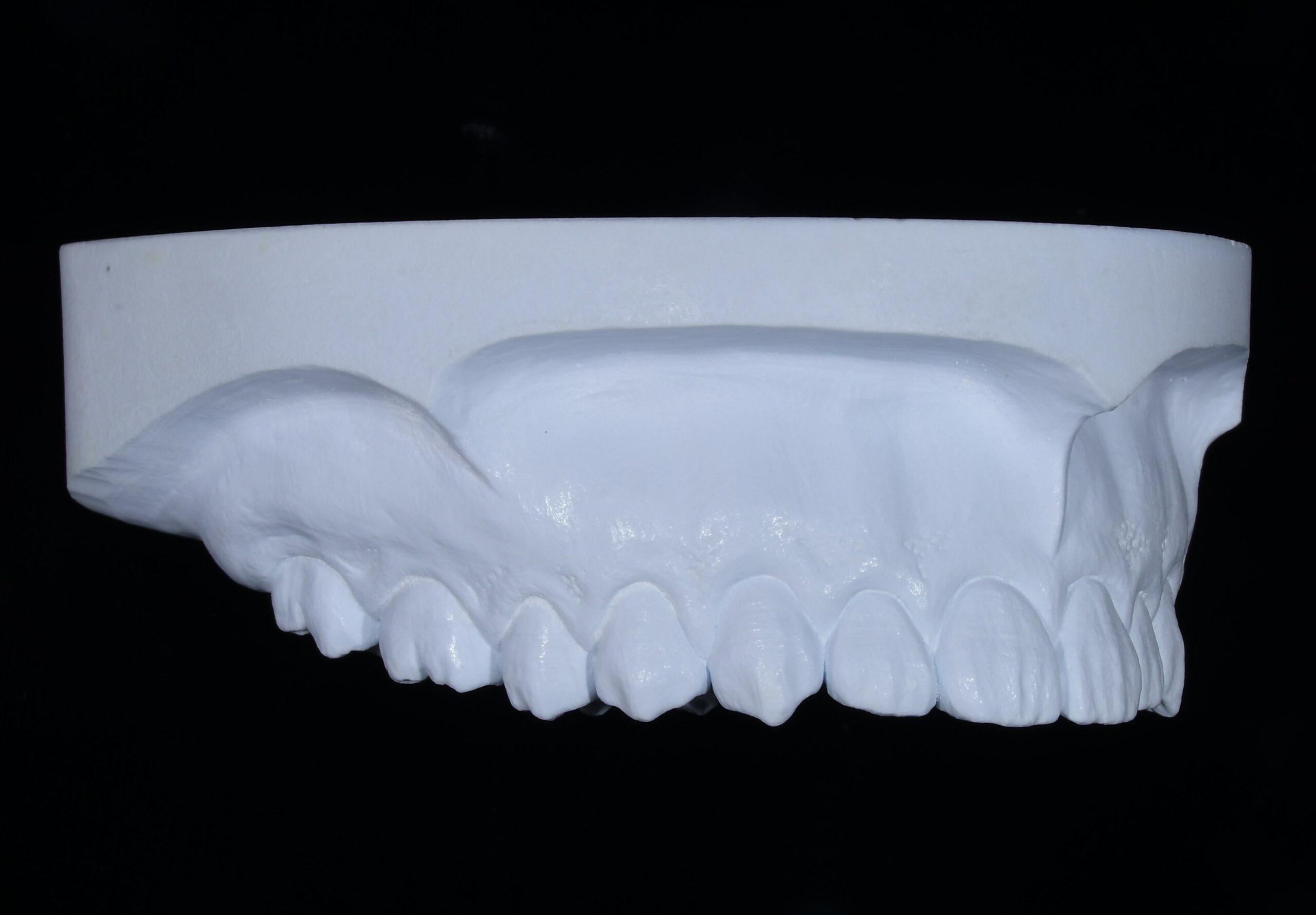
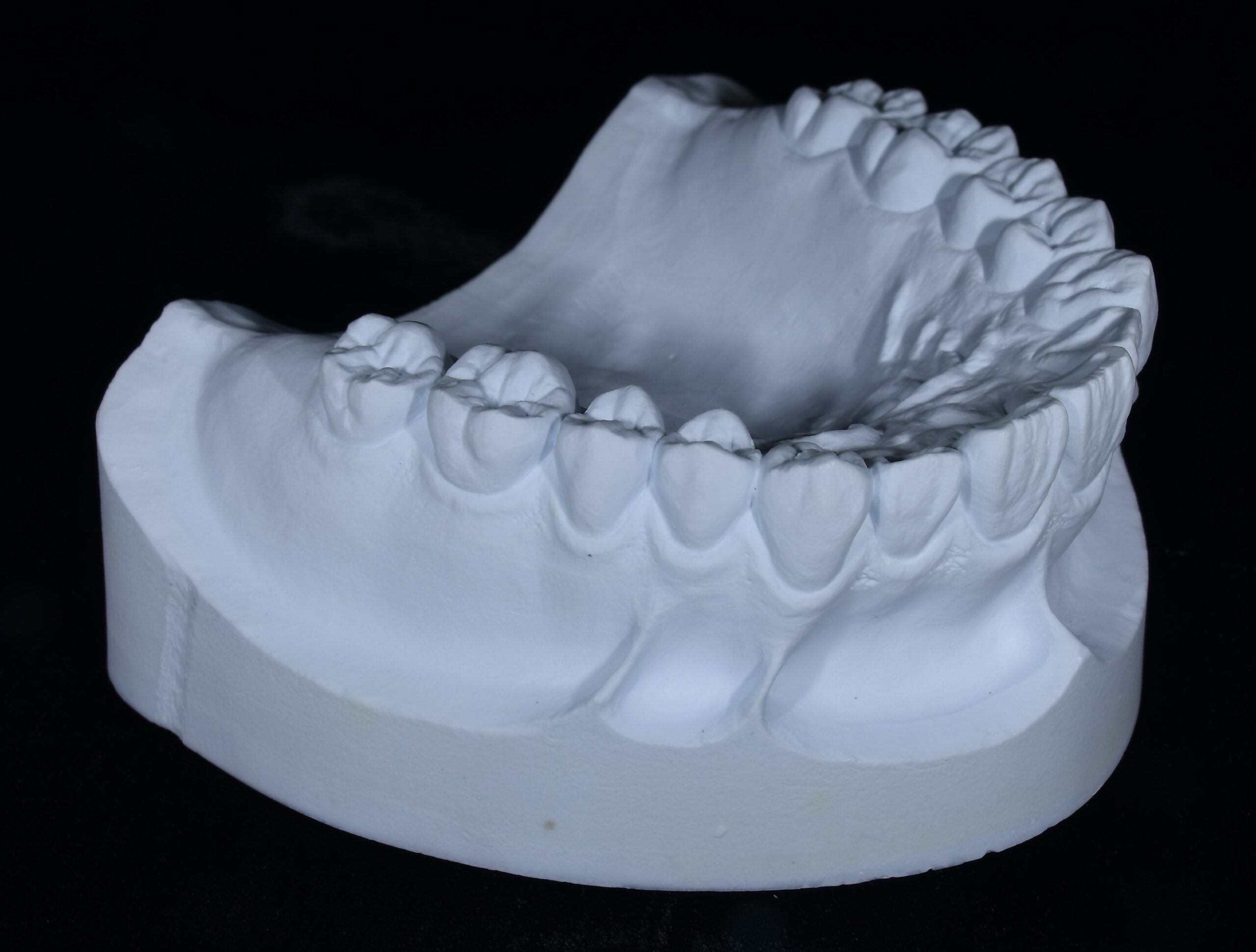
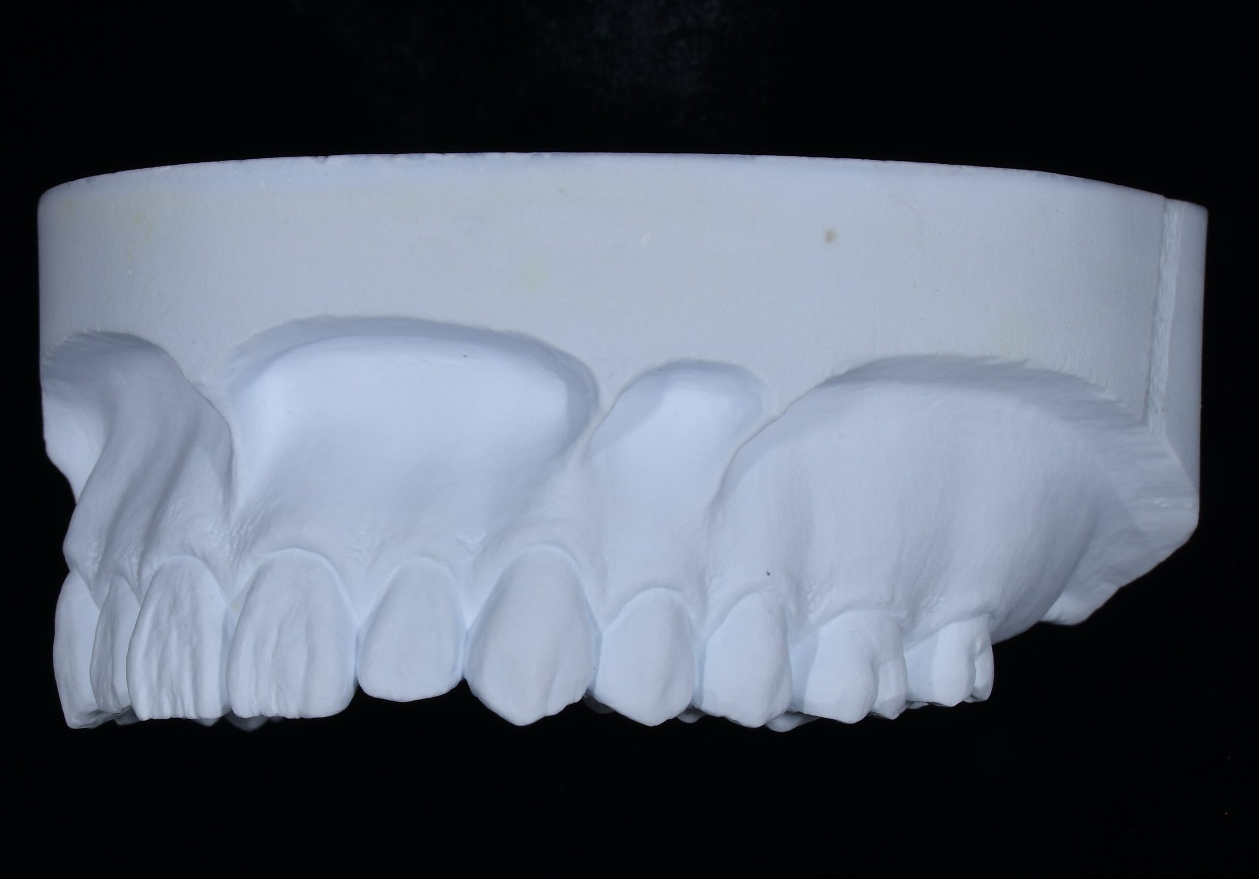
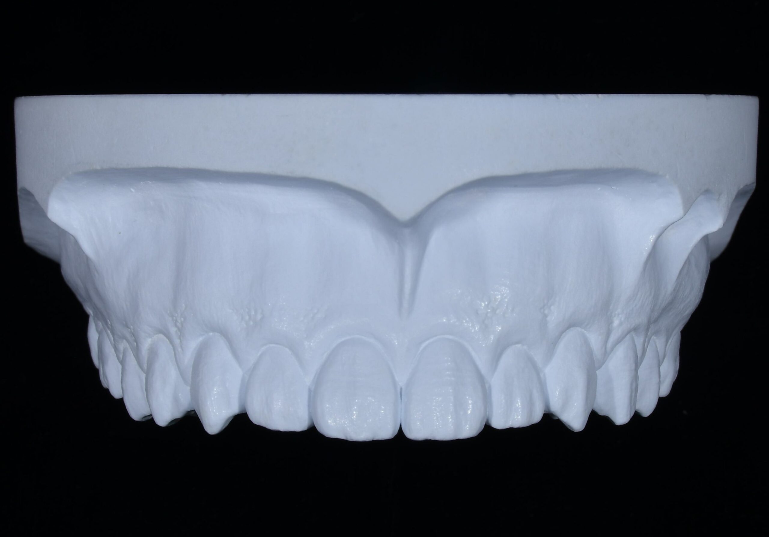
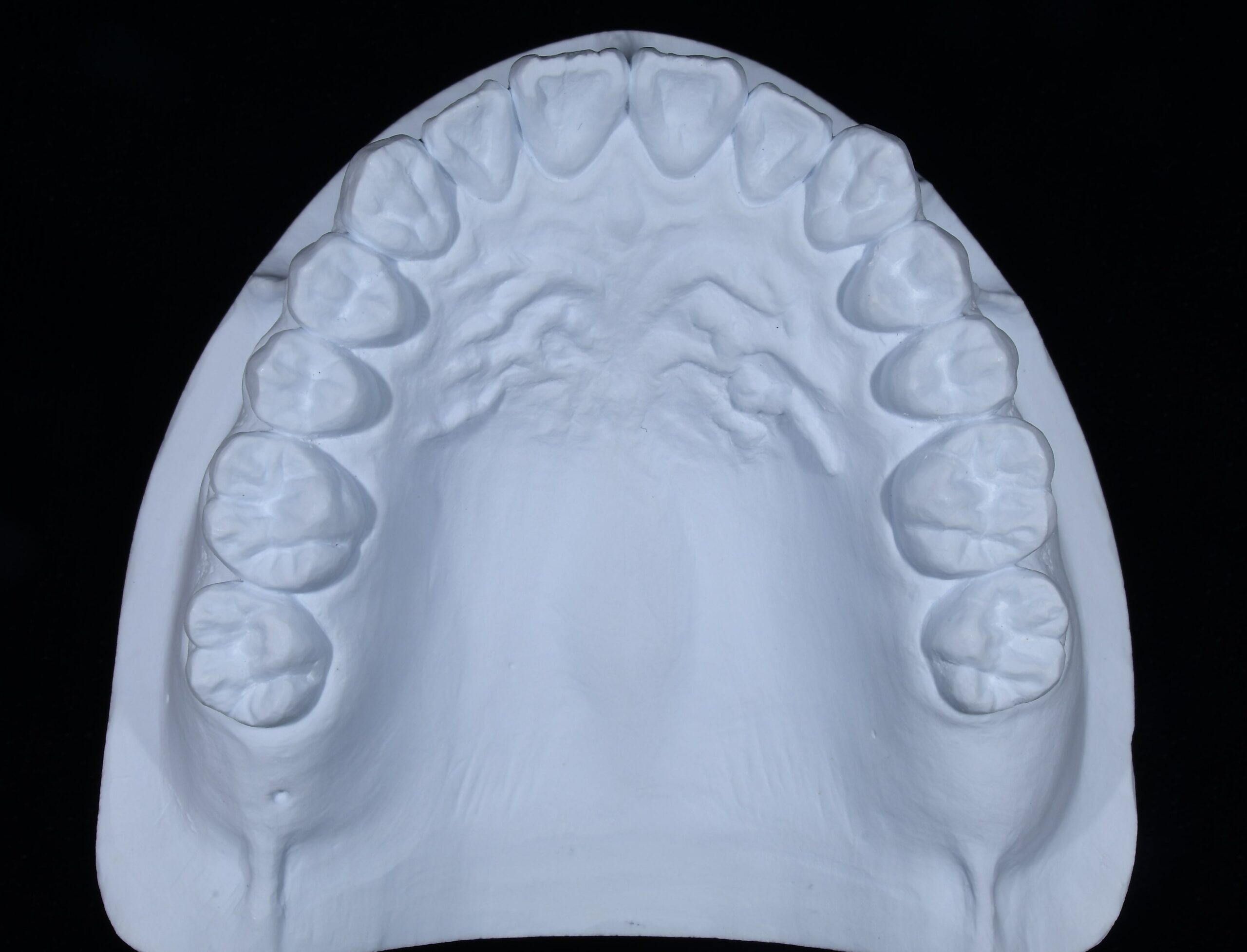
見本模型(本科)

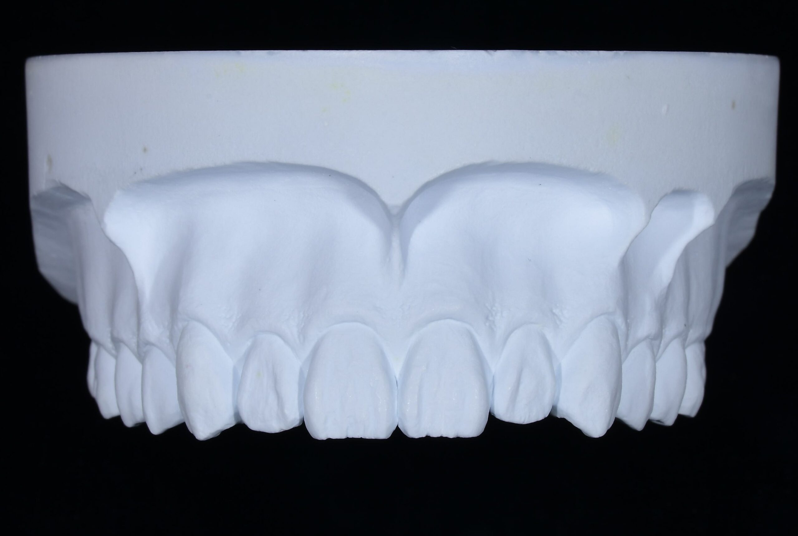
受賞作品(本科)

最優秀賞
大阪歯科大学
伊藤 有里さん
優秀賞
新東京歯科技工士学校
前石垣 友実さん
入賞
広島歯科技工士専門学校
末浪 麻帆さん

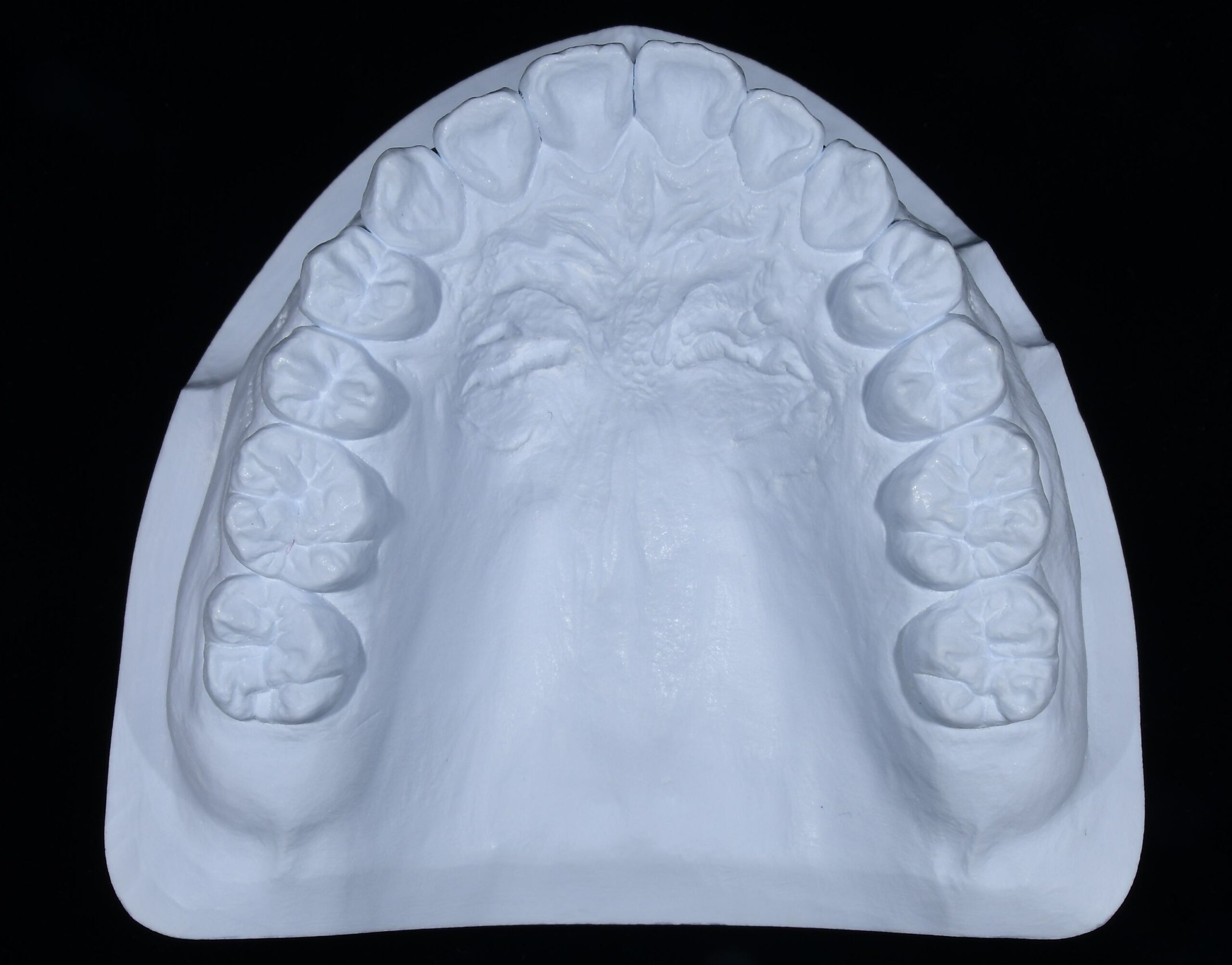
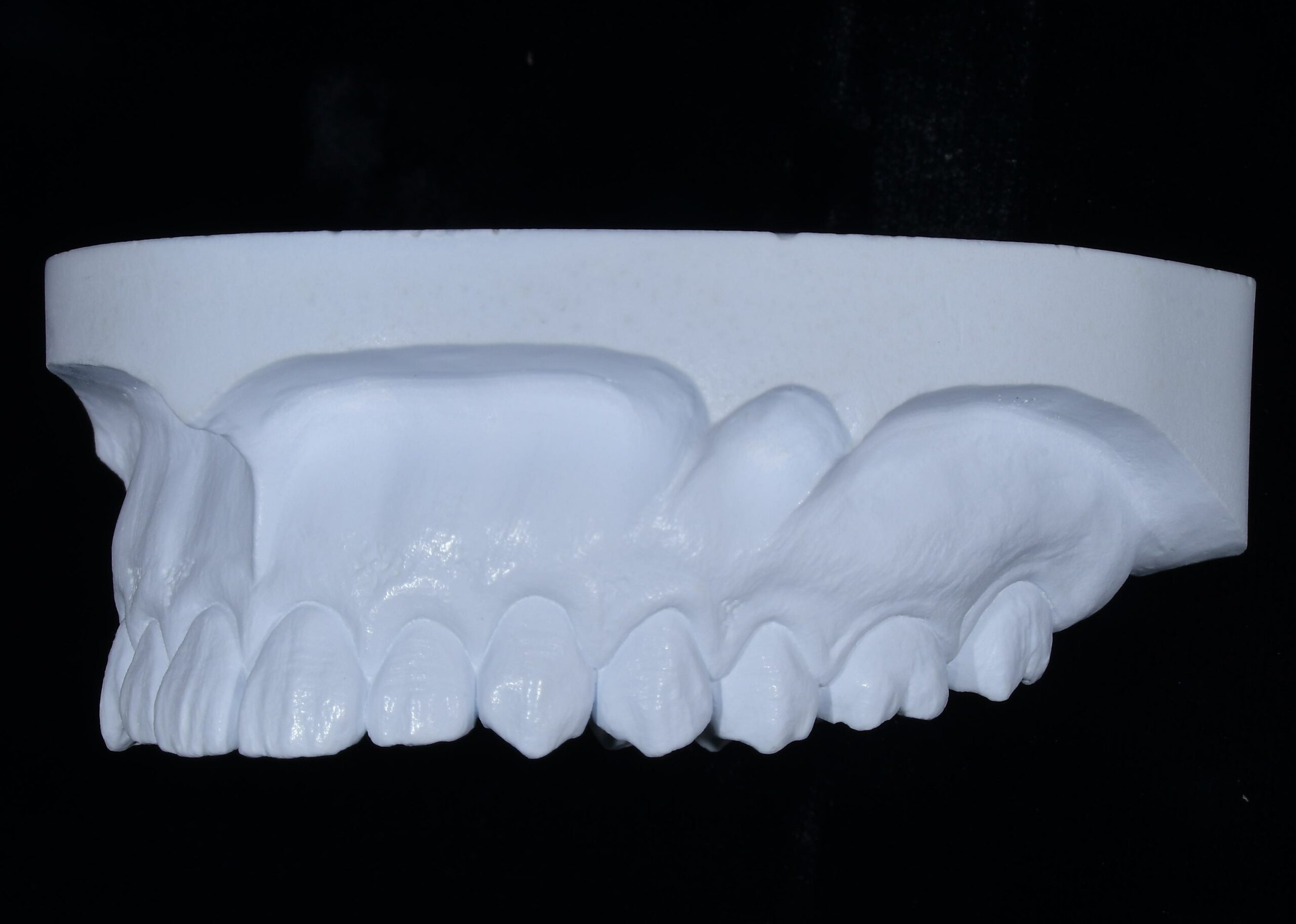
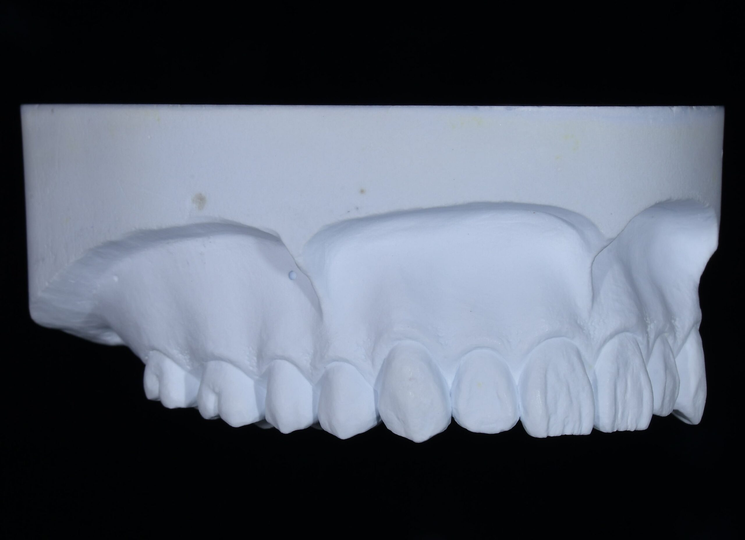
見本模型(専攻科)

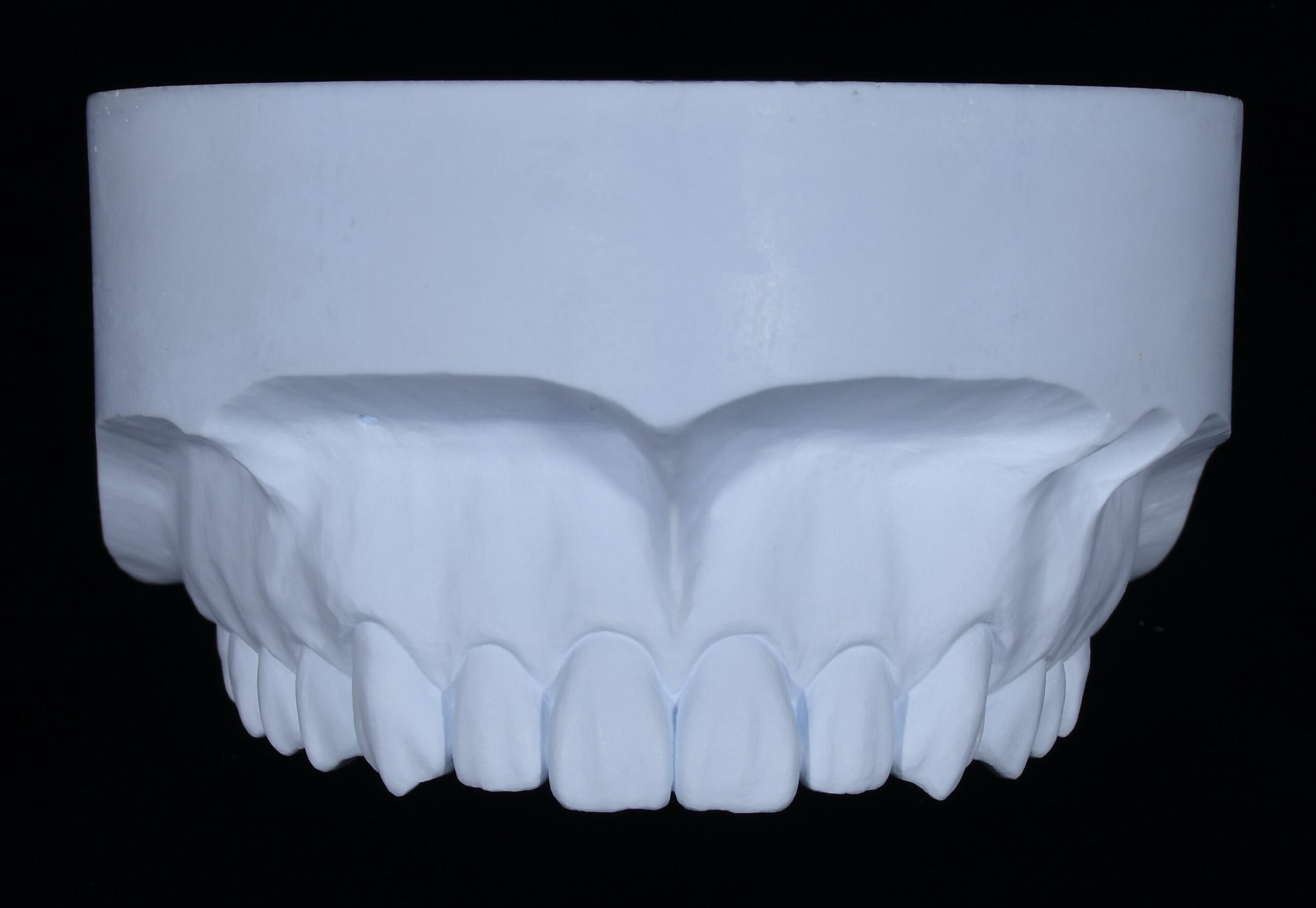
受賞作品(専攻科)

最優秀賞
鶴見大学歯学部歯科技工研修科
久保 裕一朗さん
優秀賞
明倫短期大学
高野 徹裕さん
入賞
九州歯科技工専門学校
吉田 右京さん

作品製作に多くの労力、時間、熱意を注がれた全ての学生さんを心より讃えたいと思います。
また、参加いただいた学生さんはもちろん、今回参加いただけなかった全ての歯科技工士学校の学生さんをこれからも心より応援し、日本歯科技工業界の発展の礎となられることを期待いたします。
※最優秀、優秀、入賞作品に関しては、学校様、学生さんのご厚意により、弊社運営の歯ART美術館(香川県高松市)にて、期間限定で展示予定です。

第16回 G-1グランプリ参加者は、本科307名、専攻科27名 合計334名(全35校)でした。
多数のご応募ありがとうございました。

参加校 一覧(計35校)

北海道歯科技術専門学校
仙台歯科技工士専門学校
東北歯科技工専門学校
東北歯科専門学校
栃木県立衛生福祉大学校
筑波歯科専門学校
東京医科大学
日本歯科大学東京短期大学
日本大学歯学部附属歯科技工専門学校
新東京歯科技工士学校
東邦歯科医療専門学校
明倫短期大学
鶴見大学
横浜歯科医療専門学校
新横浜歯科衛生士・歯科技工士専門学校
富山歯科総合学院
名古屋歯科医療専門学校
東海歯科医療専門学校
愛知学院大学歯科技工専門学校
京都歯科医療技術専門学校
大阪大学歯学部附属病院
大阪大学歯学部附属歯科技工士学校
新大阪歯科技工士専門学校
大阪歯科大学
東洋医療専門学校
日本歯科学院専門学校
岡山歯科技工専門学院
広島歯科技工士専門学校
香川県歯科医療専門学校
河原医療大学校
九州歯科技工専門学校
IVY大分医療総合専門学校
熊本歯科技術専門学校
宮崎歯科技術専門学校
鹿児島歯科学院専門学校

過去の受賞作品